іконка обстеження

ОБСТЕЖЕННЯ

За підтримки фахівців ДУ Інститут епідемології та інфекційних хвороб ім. Громашевського Л. В. НАМН України.

 

 

ЗD ДІАГНОСТИКА ПЕЧІНКИ:  ФІБРОСКАН + СТЕАТОМЕТРІЯ +  УЗ-ЕЛАСТОГРАФІЯ

ОБСТЕЖЕННЯ ПОКАЗАНО:

  • Як альтернатива біопсії.
  • Як первинний скринінг при безсимптомному перебігу захворювання.
  • Вірусні гепатити В,С,D,G.
  • Жировий гепатоз — неалкогольний стеатогепатит.
  • Алкогольна хвороба печінки-алкогольний стеатогепатит.
  • Аутоімунні захворювання печінки .
  • Цукровий діабет.
  • При підвищеному рівні холестерину або тригліцеридів, показників цитолізу (АЛТ, АСТ, ГГТ).
  • У разі відхилень в клінічному аналізі крові (зниження рівню лейкоцитів та тромбоцитів).
  • При надлишковій масі тіла.
  • При стійкому підвищенні рівню білірубіна в крові.
  • При підозрі на цироз печінки.
  • При лікуванні гепато-токсичними препаратами , гормональними, знеболювальними засобами (препарати, які застосовуються у ревматології), при довготривалому прийомі протизаплідних середників.
  • При декомпенсованій серцевій недостатності з підозрою на кардіальний фіброз, цироз печінки.
  • Перед та після хіміотерапією.
  • Шкідливі умови праці (довготривале перебування під дією токсичних речовин: побутової хімії, будівельних матеріалів, виробництво лаків, фарб, поліграфія, парфумерія та радіація).

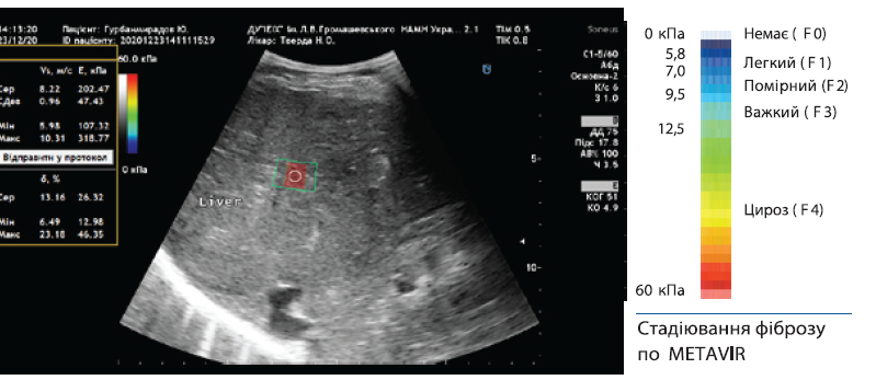
Еластографія — це група діагностичних методів якісного і кількісного аналізу біомеханічних властивостей тканин — жорсткості й еластичності. Ультразвукова еластографія вимірює механічні властивості тканин шляхом відстеження їх реакції на механічний або акустичний вплив за допомогою особливого режиму УЗД.

Еластометрія — як термін має на увазі отримання цифрових значень жорсткості в кПа які застосовуються при оцінці стадії фіброзу печінки по METAVIR.

Стадії фіброзу: 

F0 — відсутність фіброзу, 

F1 — розширення портальних трактів без формування септ,  F2 — портальний фіброз в поєднанні з одиничними септами,  F3 — портальний фіброз в поєднанні з множинними септами, F4 — цироз печінки.

при цьому діагностика є:

  • неінвазивною;
  • швидкою;
  • безболісною;
  • нешкідливою;
  • не вимагає складної спеціальної підготовки;
  • дозволяє отримати точні результати в режимі реального часу.

Зсувнохвильова еластографія — виконується за допомогою мультипараметричного ультразвукового апарату (Soneus P 7, Cannon, Siemens тощо).

Транзієнтна еластографія виконується тільки за допомогою апарату Fibroscan.

photo 2025 12 11 15 49 19

 

Створення зсувних хвиль в установці для транзієнтної (непрямої) еластографії проводиться механічним способом за допомогою спеціального комбінованого датчика.

Еластографія в гастроентерології є найбільш популярним і перспективним засобом діагностики фіброзу у пацієнтів з дифузними захворюваннями печінки і може замінити біопсію в більшості випадків.

Тому що багато патологічних процесів, включаючи фіброз (рубцеву деформацію тканин), запалення і виникнення новоутворень в більшості випадків супроводжуються зміною механічних властивостей тканин.

Транзієнтна та зсувнохвильова еластографія використовується для діагностики фіброзу печінки, який сформувався внаслідок хронічної вірусної інфекції, неалкогольної жирової хвороби або надмірного вживання алкоголю.

Ультразвукова стеатометрія — інформативний метод для скринінгу неалкогольної жирової хвороби печінки при мінімально і максимально вираженому стеатозі.

Стеатоз підступно переходить у стеатогепатит і призводить до термінальних форм ураження печінки: цирозу,  ГЦК та портальної гіпертензії. Хвороба вражає до 10-15% худих людей. Точних специфічних біохімічних тестів НАЖХП не існує. Така підступність НАЖХП потребує розробки концепції обстеження за допомогою ультразвукового (УЗ) скринінгу.

УЗ-дослідження печінки у В-режимі (В-УЗД)і стеатометрія – кількісне визначення ступеня стеатозу за допомогою виміру коефіцієнта затухання (ВКЗ, дБ/см).

экрана 2025 12 10 112714

Для визначення вираженості стеатозу використовується шкала (дБ/см), яка корелює зі ступенем стеатозу за даними біопсії печінки.

NAS (NAFLD activity score — шкала активності неалкогольної жирової хвороби печінки):

 

S0 — немає стеатозу: < 2, 19 дБ/см;

S1 — мінімальний стеатоз: < 5% гепатоцитів зі стеатозом; 2,2–2,29 дБ/см;

S2 — помірний стеатоз: < 6–32% гепатоцитів зі стеатозом; 2,3–2,9 дБ/см;

S3 — виражений стеатоз: < 33–100% гепатоцитів зі стеатозом;

> 2,9 дБ/см.

 

Саме  інноваційні УЗ технології еластографії і стеатометрії дозволяють неінвазивно, аналогічно процедурі простого УЗД, визначити стадію фіброзу/цирозу і стеатозу, а також з’ясувати тяжкість перебігу і прогноз захворювання.

88888

Цироз печінки

999

Виражений стеатогепатоз

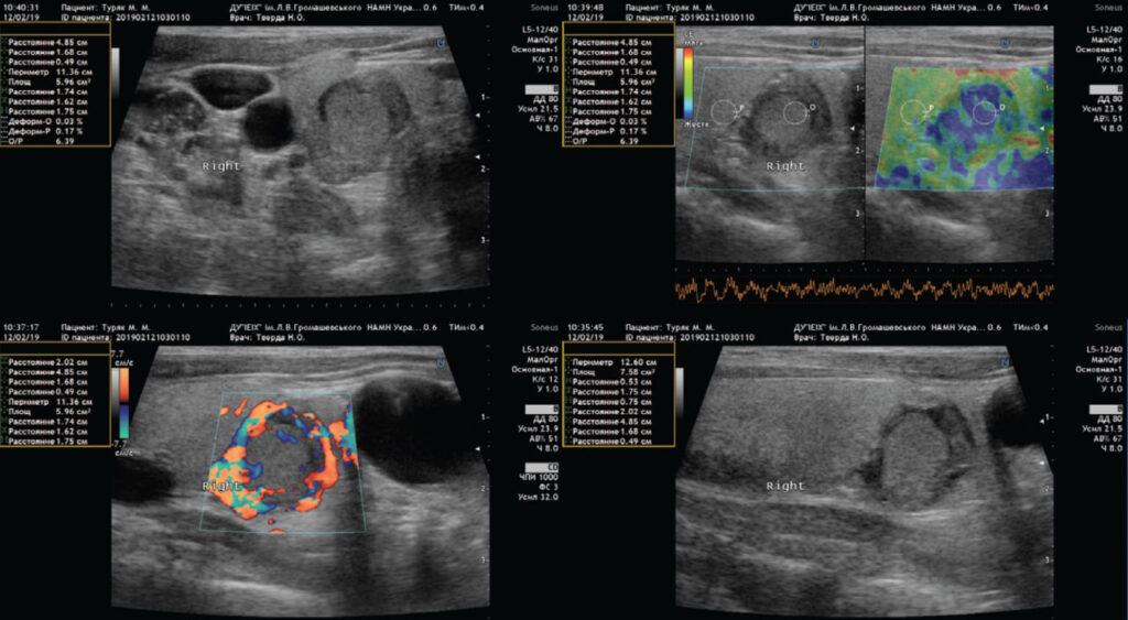
Компресійна еластографія використовується для дослідження вогнищевих утворень щитоподібної залози, молочної залози та новоутворень м’яких тканин.

При захворюваннях щитоподібної залози (вузловий зоб, гіпертиреоз, дифузні зміни, аутоімунний тиреоїдит) еластографія може бути використана для виявлення і розпізнавання на ранній стадії злоякісних і доброякісних утворень, що розрізняються в кілька разів своєю жорсткістю і для прийняття рішення про необхідність проведення біопсії.

 

photo 2025 12 11 15 12 10

Медулярний рак щитоподібноі залози

Методи компресійної і зсувнохвильової еластографії можуть застосовуватися як додатковий засіб разом з мамографією та УЗД для діагностики злоякісних і доброякісних утворень молочних залоз при таких захворюваннях: кісти молочних залоз, фіброаденома, фіброзно-кістозна мастопатія. На відміну від мамографії еластографія не має обмежень по кількості досліджень через рентгенівське опромінення.

Прокрутить вверх